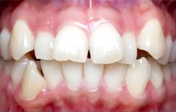
Los dientes chuecos son muy comunes en las personas y aunque es un problema que se asocia más con niños, esta situación suele darse también en adultos y es una de las principales razones por la que muchas personas acuden a la clínica dental.
Información sobre el precio del tratamiento para dientes chuecos
Contenidos
| ortodoncia | Precio más bajo | Precio promedio | Precio máximo |
|---|---|---|---|
| Precio en Ciudad de México | $15,000 | $20,000 | $25,000 |
| Precio en Monterey (Nuevo León) | $18,000 | $26,000 | $29,000 |
| Precio en Guadalajara (Jalisco) | $16,000 | $22,000 | $27,000 |
¿Por qué salen los dientes chuecos?
Las principales causas por la que los dientes crecen torcidos son:
Malos hábitos:
Malos habitos como chuparse el dedo en la infancia puede parecer inofensivo, pero con el tiempo puede hacer que los dientes se doblen más tarde.
Existen otros hábitos, habitualmente inconscientes, que pueden provocar una continua dislocación de la mandíbula y apiñamiento de los dientes. Estos hábitos llamados función muscular incluyen la respiración oral y la deglución atípica.
Enfermedad o lesión
Cualquier tipo de traumatismo facial puede provocar el desplazamiento de los dientes. Cuando los dientes se pierden debido a una lesión o enfermedad o la mandíbula se desplaza, los dientes restantes se moverán lentamente con el tiempo para compensar el espacio abierto.
Por lo tanto, es importante cuidar los dientes temporales porque si se caen prematuramente debido a caries, traumatismos u otros factores, es probable que los dientes permanentes aparezcan en lugares inesperados cuando comiencen a erupcionar.
Genética:
La herencia es la causa más común de dientes torcidos. El gen del diente que causa la maloclusión generalmente proviene de nuestros padres.
En algunos casos, los dientes apiñados pueden estar relacionados con el tamaño de la boca o debido a la falta de espacio, es más probable que la boca pequeña apriete los dientes.
La desalineación de la mandíbula inferior también puede hacer que los dientes superiores o inferiores se salgan entre sí y provoquen mordida.
¿Qué consecuencias tiene tener los dientes chuecos?
Los dientes chuecos más allá de lo estético, pueden causar, problemas para la salud, por lo que es importante, considerar un tratamiento adecuado a las necesidades del paciente.
Entre las consecuencias mas comunes de tener dientes chuecos, se encuentran las siguientes:
- Mal aliento
- Dolor de cabeza
- Desgaste de los dientes
- Encías abultadas
- Microfacturar por la mala mordida
¿Cómo se pueden arreglar los dientes chuecos?
El tratamiento de ortodoncia (brackets) es el tratamiento ideal para dientes torcidos o doblados y se puede utilizar a cualquier edad. Todavía hay un mejor momento para iniciar el tratamiento. Si comienza a aprender desde una edad temprana, puede garantizar mejores resultados.
En pacientes adultos, la alineación de los dientes también se puede corregir colocando carillas o coronas.
Además, actualmente existen muchos más tratamientos como, por ejemplo, Brackets tipo Zafiro (transparente) u ortodoncia lingual, entre otros.
¿Cuánto cuesta el arreglo de dientes chuecos?
El precio para un tratamiento de ortodoncia en México, es muy variable y depende de muchos factores como, los distintos métodos, el tiempo de tratamiento, las características del paciente, el tipo de Brackets o de procedimiento (invisible, metálico, autoligado, interlingual) así como también del experto que realice dicho arreglo. Los precios pueden encontrarse desde $15,000 hasta más de $30,000 pesos.
